Cabinet dentaire du Dr Mélodie CARASCO
Chirurgien-Dentiste pratiquant l'Orthodontie, à FUVEAU / LA BARQUE
Accueil
Le cabinet
Français
English
Plan d'accès
Urgences
Fiches Conseils
Vidéos
Prendre RDV en ligne
Questionnaire pré-RDV
CONTACT
Cabinet dentaire du Dr Mélodie CARASCO
10, Impasse Sainte Rosalie Zac de La Barque
13710
FUVEAU
+33 4 42 26 82 52
Chirurgien-Dentiste pratiquant l'Orthodontie, à FUVEAU / LA BARQUE
Accueil
Le cabinet
Français
English
Plan d'accès
Urgences
Fiches Conseils
Vidéos
Prendre RDV en ligne
Questionnaire pré-RDV
CONTACT
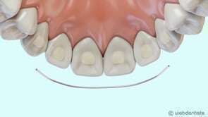
Fil de contention
Vidéos 3D
Partager
Twitter
Partager
Partager
Envoyer
Copier
Cabinet dentaire du Dr Mélodie CARASCO
10, Impasse Sainte Rosalie Zac de La Barque
13710
FUVEAU
+33 4 42 26 82 52
En savoir +
Politique de confidentialité et charte cookie
Mentions légales
Conditions Générales Utilisation
Charte déontologique
Ordre national
Annuaires chirurgiens dentistes
Liens utiles
Hygiène & Asepsie
Honoraire & remboursement
Recherche
Création par
Connexion